Digital 3D Scanning
No messy impressions
Painless Dentistry
Laser & numbing tech
Same-Day Crowns
3D printed in-house
Sterilized Environment
Hospital-grade protocols
Emergency Care
Always available
Flexible Payments
Easy payment options
Comprehensive Dental Care in Chandigarh & Panchkula
From routine cleanings to complex implant surgeries — all under one roof with the latest technology and painless techniques

Dental Implants
Permanent tooth replacement with high quality implants. Natural look and feel.

Root Canal Treatment
Painless RCT with rotary endodontics. Save your natural tooth.

Teeth Cleaning & Scaling
Professional ultrasonic scaling for healthy gums and fresh breath.

Orthodontics & Aligners
Metal braces, ceramic braces, and invisible aligners for perfect alignment.

Cosmetic Dentistry
Smile makeovers, veneers, tooth jewellery, and aesthetic bonding.

Wisdom Tooth Removal
Safe surgical extraction of impacted wisdom teeth under local anesthesia.

Full Mouth Rehabilitation
Complete dental restoration for severely damaged or missing teeth.

Teeth Whitening
Professional in-office whitening for a brighter, confident smile.
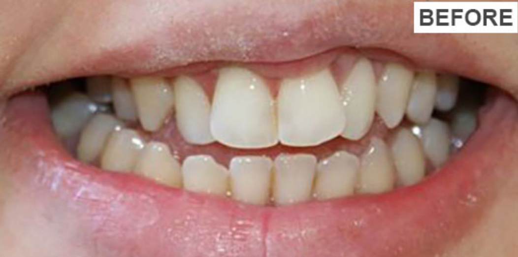
Smile Transformations That Speak for Themselves
Drag the slider to see the dramatic before & after results from our Chandigarh and Panchkula clinics


Dental Implants
Complete tooth replacement with natural-looking implants


Teeth Whitening
Professional teeth whitening for a brighter, stain-free smile


Invisible Aligners
Perfectly aligned teeth without visible braces in 12-18 months
Powered by the Latest Dental Technology
We invest in cutting-edge equipment so our patients in Chandigarh & Panchkula receive the most accurate, comfortable, and efficient dental treatments available in India
Trusted by 15,000+ Patients
Real reviews from patients across Chandigarh, Mohali, Panchkula, and international dental tourists
Anita Verma
Panchkula • Root Canal Treatment
"Was terrified of root canal but Dr. Ashish Gupta made it completely painless. Done in just one sitting! Best dentist in Panchkula without any doubt."
Sukhwinder Singh
Mohali • Braces & Aligners
"My son got his braces from here. The orthodontic treatment was excellent and affordable. The Mohali location is very convenient for us."
World-Class Dental Care at Indian Prices
Save up to 70% on dental treatments compared to the US, UK, and Australia. Combine your dental care with a trip to India's beautiful destinations.
Single Dental Implant
$600-$1000
$3,000-6,000
Save ~75%
Root Canal
$200-$400
$1,000-1,200
Save 70%
Veneers(per tooth)
$300-500
$1,000-2,500
Save 75%
Full Mouth
$10K-$12K
$35,000+
Save 75%
Two Convenient Locations in Tricity
Serving patients across Chandigarh, Mohali, Panchkula, and Zirakpur
Chandigarh Branch
Panchkula Branch
Proudly serving patients from Chandigarh, Mohali (SAS Nagar), Panchkula, Zirakpur, Kharar, Dera Bassi, and the entire Tricity region





